Skip Menu
Continue
7810 Providence Rd., Ste. 106, Charlotte, North Carolina 28226
(704) 540-1212
Logo
  • Home
  • About Us
    • Our Office
    • New Patients
    • Smile Gallery
    • Dental Videos
    • Testimonials
  • Our Doctors
    • Leo Uicker, DDS
  • Services
      • Ceramic Crowns
      • CEREC® Crowns
      • Cosmetic Dentistry
      • Crowns & Caps
      • Dental Bridges
      • Dental Cleanings
      • Dental Fillings
      • Fluoride Treatment
      • Implant Dentistry
      • Oral Cancer Screening
      • Oral Exams
      • Pediatric Dentistry
      • Preventive Program
      • Root Canals
      • Teeth Whitening
    • View All
  • Dental Health
  • Contact
    • Contact Us
    • Request Appointment

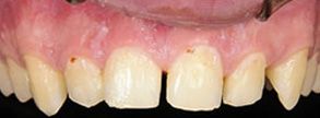
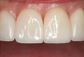
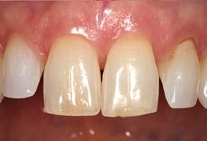
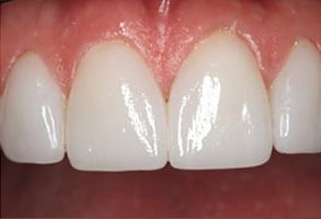
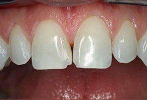
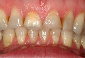
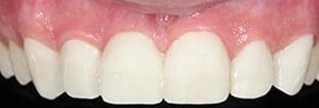
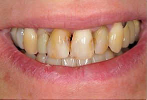
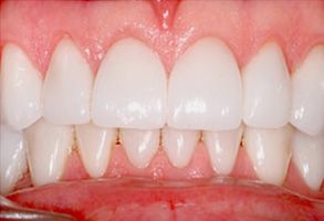
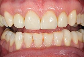
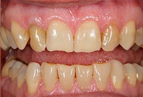
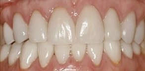
Smile Gallery

7810 Providence Rd., Ste. 106
Charlotte, North Carolina 28226